Checkups & X-rays
Having a regular dental checkup allows your dentist to give you a thorough examination of your teeth, gums, and mouth; detect any changes; and help prevent minor dental problems from becoming major ones. Early intervention helps prevent treatment from becoming more invasive and expensive.
At a comprehensive examination, we will ask you a number of questions about your health, nutrition, and lifestyle to help us ascertain any contributing factors to your dental problem. To find out more about your dental problem, we will probe the gums around the teeth (this is called a periodontal screening tool), and we will take small checkup X-rays (posterior bitewings). The posterior bitewing x-rays will show any tooth decay on the surfaces of the premolar and molar teeth that are not visible to the naked eye.
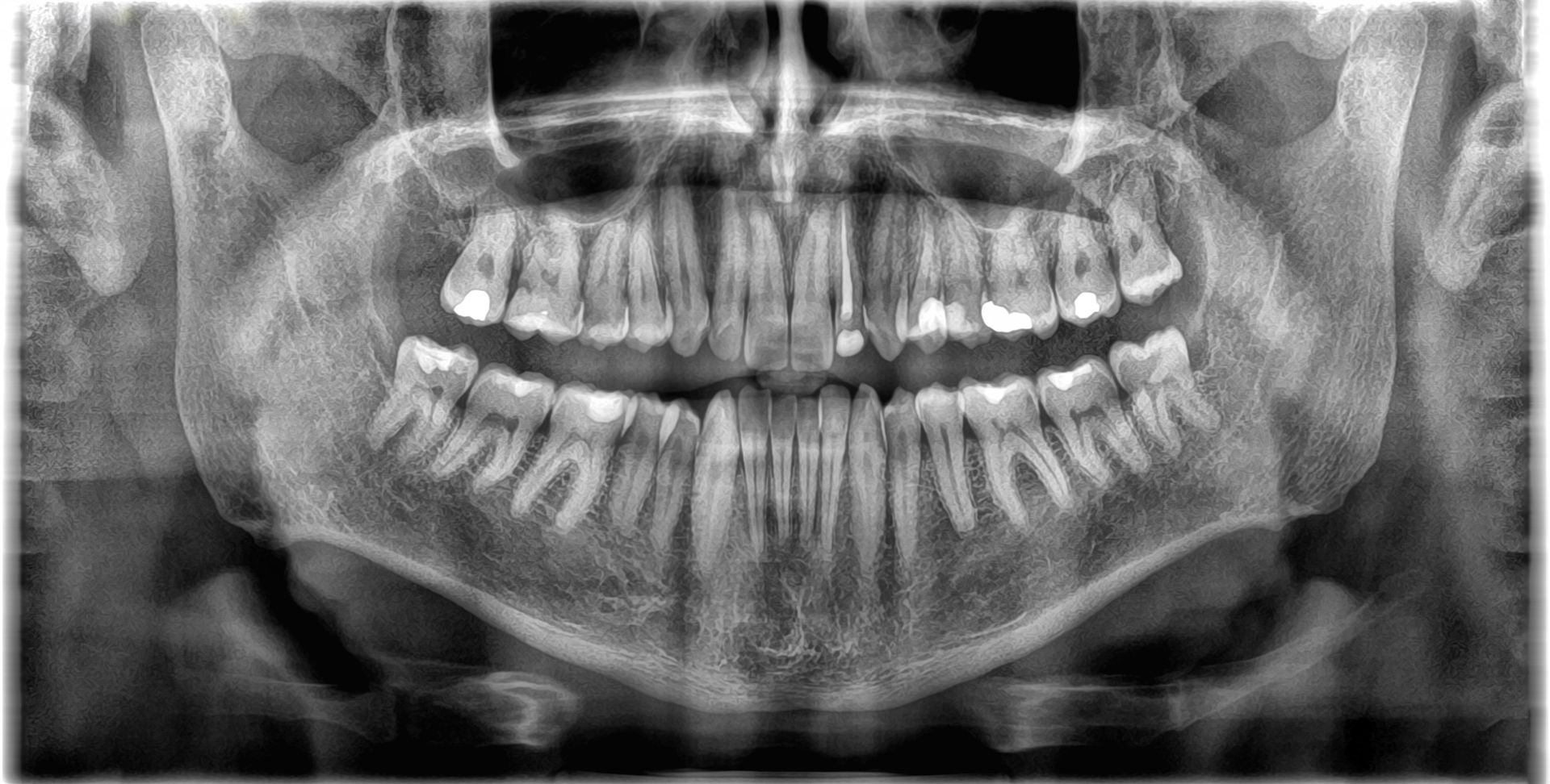
We may also recommend a panoramic x-ray to provide a wraparound view of the jaw joints, sinus areas, the roots of the teeth, and the location of the inferior alveolar canal (a large canal in the lower jaw carrying a major nerve and blood vessel to supply the gums and teeth in the lower jaw) and wisdom teeth. These anatomical structures are not visible on regular small checkup x-rays.
After your initial assessment, we will advise you as to whether you require more specific x-rays or special tests. Further tests may include a cold test on a tooth or a percussion test (tapping the tooth).
Impressions may be taken for treatment planning purposes if you require a detailed assessment for full mouth rehabilitation. Once we have gathered all the necessary clinical information, we will present our findings and a treatment plan for your consideration.
Schedule your routine dental checkup now by calling 09 270 0200.











